Всё, что нужно знать о зубных коронках: от выбора до ухода
Оглавление статьи

Об авторе

Доктор Крушев Александр Леонидович, кандидат медицинских наук, является ведущим специалистом в области стоматологии с более чем 20-летним опытом работы. Окончив Московский государственный медико-стоматологический университет с отличием, Александр Леонидович продолжил своё обучение в аспирантуре, где защитил диссертацию на тему современных технологий в стоматологии.

Об авторе

За годы своей карьеры доктор Крушев стал автором многочисленных научных публикаций и участником международных конференций. Его клиническая практика охватывает широкий спектр стоматологических услуг, включая установку зубных коронок, имплантацию и эстетическую стоматологию. В своей работе Александр Леонидович неоднократно сталкивался с различными проблемами, связанными с установкой зубных коронок, и всегда находил оптимальные решения для своих пациентов.

В этой статье доктор Крушев делится своими знаниями и опытом, чтобы помочь вам разобраться во всех аспектах зубных коронок — от выбора до ухода.

Введение

Зубные коронки представляют собой стоматологические конструкции, которые восстанавливают форму, функцию и эстетику поврежденных зубов. Они используются в случаях, когда зуб разрушен более чем наполовину, а также для защиты зубов после эндодонтического лечения или в качестве опоры для мостовидных протезов.

В современной стоматологии существует множество видов коронок, каждый из которых имеет свои особенности и показания к применению. В этой статье мы подробно рассмотрим все аспекты, связанные с зубными коронками, чтобы помочь вам сделать осознанный выбор и обеспечить долговечность вашего лечения.

Важно понимать, что успех лечения зависит не только от качества коронки, но и от правильного ухода за ней. В этом материале вы найдете рекомендации по уходу за зубными коронками, а также узнаете, как избежать возможных осложнений.

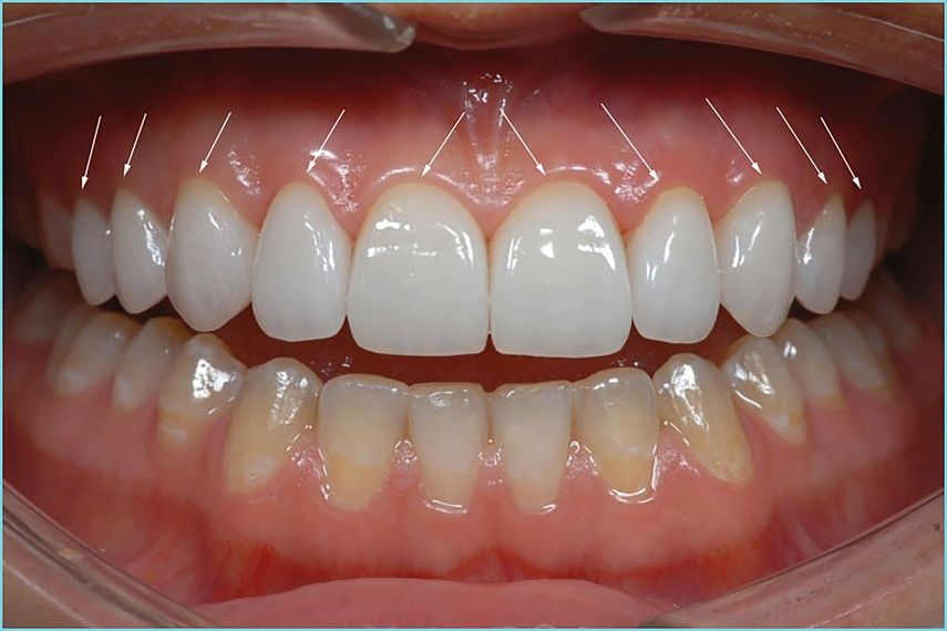
Виды зубных коронок

Виды зубных коронок

Современная стоматология предлагает несколько видов зубных коронок, каждый из которых имеет свои преимущества и недостатки. Выбор подходящего типа коронки зависит от клинической ситуации, предпочтений пациента и рекомендаций врача.

Металлические коронки

Металлические коронки изготавливаются из различных сплавов, таких как золото, платина или кобальт-хромовый сплав. Они обладают высокой прочностью и долговечностью, что делает их идеальным выбором для жевательных зубов.

  • Преимущества:
    • Высокая прочность и износостойкость
    • Минимальное стирание противоположных зубов
    • Долгий срок службы
  • Недостатки:
    • Эстетически менее привлекательны по сравнению с другими видами коронок
    • Могут вызывать аллергические реакции у некоторых пациентов

Керамические коронки

Керамические коронки полностью изготавливаются из керамики и обеспечивают отличную эстетику, имитируя естественный цвет и прозрачность зубов. Они идеально подходят для восстановления передних зубов.

  • Преимущества:
    • Высокая эстетика
    • Биосовместимость с тканями полости рта
    • Не вызывают аллергических реакций
  • Недостатки:
    • Меньшая прочность по сравнению с металлическими коронками
    • Могут требовать более значительной обточки зуба

Металлокерамические коронки

Металлокерамические коронки

Металлокерамические представляют собой комбинацию металлического каркаса и керамического покрытия. Они сочетают в себе прочность металла и эстетику керамики, что делает их универсальным решением для восстановления как передних, так и жевательных зубов.

  • Преимущества:
    • Высокая прочность за счет металлического каркаса
    • Хорошая эстетика благодаря керамическому покрытию
    • Долговечность и износостойкость
  • Недостатки:
    • Может быть виден металлический край коронки при рецессии десны
    • Возможность аллергических реакций на металл
    • Требует более значительной обточки зуба по сравнению с керамическими коронками

"В своей практике я часто сталкивался с ситуациями, когда пациенты хотели сочетание эстетики и прочности. Металлокерамические коронки стали отличным решением в таких случаях, особенно для восстановления боковых зубов, где важна как внешняя привлекательность, так и функциональность."

Коронки из диоксида циркония

Коронки из диоксида циркония

Коронки из диоксида циркония — это современный вид коронок, который объединяет высокую прочность и отличную эстетику. Они изготавливаются из диоксида циркония — материала, обладающего высокой биосовместимостью и прочностью, сравнимой с металлическими коронками.

  • Преимущества:
    • Высокая прочность и долговечность
    • Отличная эстетика, имитирующая естественный цвет зубов
    • Биосовместимость, что снижает риск аллергических реакций
  • Недостатки:
    • Высокая стоимость по сравнению с другими видами коронок
    • Могут требовать более значительной обточки зуба

Показания и противопоказания

Показания и противопоказания

Установка зубных коронок является необходимой процедурой в ряде клинических ситуаций. Понимание показаний и противопоказаний поможет вам принять обоснованное решение о необходимости такого лечения.

Показания для установки зубных коронок

  • Разрушение зуба более чем на 50% в результате кариеса или травмы.
  • Необходимость защиты зуба после эндодонтического лечения (лечения корневых каналов).
  • Эстетическое восстановление зубов с изменением цвета или формы.
  • Коррекция аномалий прикуса и окклюзии.
  • Использование в качестве опоры для мостовидных протезов.

"В одном из случаев ко мне обратился пациент с сильно разрушенным зубом после травмы. После тщательного обследования мы приняли решение об установке коронки, что позволило не только восстановить функцию зуба, но и вернуть пациенту уверенность в своей улыбке."

Противопоказания для установки зубных коронок

  • Аллергические реакции на материалы, используемые для изготовления коронок.
  • Наличие воспалительных процессов в полости рта, требующих предварительного лечения.
  • Недостаточная высота клинической коронки зуба для надежной фиксации.
  • Бруксизм (скрежетание зубами) без использования защитных капп, что может привести к повреждению коронки.

Перед установкой коронки важно пройти тщательное обследование у стоматолога, чтобы исключить возможные противопоказания и выбрать оптимальный вид коронки.

Процесс установки зубной коронки

Процесс установки зубной коронки

Процесс установки зубной коронки включает несколько этапов, каждый из которых требует внимательного подхода и профессионализма врача. Рассмотрим основные шаги этой процедуры.

  1. Подготовительный этап

    • Консультация и диагностика: врач проводит осмотр, рентгенологическое исследование и при необходимости дополнительные диагностические процедуры.
    • Планирование лечения: на основании диагноза составляется план лечения, включающий выбор типа коронки и материалов.
  2. Снятие слепков

    • Подготовка зуба: зуб обтачивается под коронку для обеспечения надежной фиксации.
    • Снятие слепков: с помощью специальных материалов снимаются слепки челюстей для изготовления коронки в зуботехнической лаборатории.
  3. Изготовление временной коронки

    • Установка временной коронки: на период изготовления постоянной коронки устанавливается временная конструкция для защиты обточенного зуба.
  4. Установка постоянной коронки

    • Примерка и фиксация: готовая коронка примеряется на зуб, при необходимости вносятся коррективы, после чего она фиксируется на специальный стоматологический цемент.
    • Контроль и рекомендации: врач проверяет прикус, дает рекомендации по уходу за коронкой и назначает контрольные визиты.

"Важно помнить, что успех лечения зависит не только от качества коронки, но и от соблюдения всех этапов процедуры. В своей практике я всегда уделяю особое внимание подготовительному этапу и тщательной примерке коронки, чтобы обеспечить комфорт и долговечность результата."

Выбор материала для коронки

Выбор материала для коронки

Выбор материала для зубной коронки — это важный шаг, который зависит от клинической ситуации, предпочтений пациента и рекомендаций врача. Каждый материал имеет свои особенности, которые следует учитывать при принятии решения.

Как выбрать подходящий материал

  1. Эстетические требования: если важно, чтобы коронка была максимально похожа на естественный зуб, предпочтение следует отдать керамическим или циркониевым коронкам.
  2. Функциональные нагрузки: для жевательных зубов, подвергающихся высоким нагрузкам, лучше выбрать металлические или металлокерамические коронки.
  3. Бюджет: металлические коронки обычно стоят дешевле, чем керамические или циркониевые, что может быть важным фактором при выборе.
  4. Аллергии и чувствительность: при наличии аллергии на металлы следует рассмотреть варианты без металлического каркаса.

"Один из моих пациентов, профессиональный музыкант, обратился с проблемой разрушенного зуба. Для него было важно, чтобы коронка не только восстановила функцию зуба, но и не вызывала дискомфорта при игре на духовом инструменте. Мы выбрали коронку из диоксида циркония, которая идеально соответствовала его требованиям."

Влияние материала на эстетику и долговечность

Материал Эстетика Долговечность Биосовместимость
Металлические Низкая Высокая Средняя
Керамические Высокая Средняя Высокая
Металлокерамические Средняя Высокая Средняя
Циркониевые Высокая Высокая Высокая

Уход за зубными коронками

Уход за зубными коронками

Успешная установка зубной коронки — это только начало. Правильный уход за коронкой играет ключевую роль в обеспечении её долговечности и сохранении здоровья полости рта.

Ежедневный уход

  • Чистка зубов: чистите зубы не менее двух раз в день с использованием зубной пасты, рекомендованной вашим стоматологом.
  • Использование зубной нити: регулярно используйте зубную нить для удаления остатков пищи и налёта в межзубных промежутках.
  • Ополаскиватели: применяйте ополаскиватели для полости рта, чтобы поддерживать гигиену и предотвращать развитие кариеса.

Рекомендации по чистке

  • Избегайте жестких щеток и абразивных паст, которые могут повредить поверхность коронки.
  • Регулярно посещайте стоматолога для профессиональной чистки и осмотра состояния коронок.

Возможные осложнения и их профилактика

Возможные осложнения и их профилактика

Установка зубной коронки — это безопасная и эффективная процедура, однако, как и любое медицинское вмешательство, она может сопровождаться определенными рисками и осложнениями. Знание возможных проблем поможет вам своевременно принять меры для их предотвращения.

  1. Воспаление десен

    • Причины: неправильная установка коронки, нарушение гигиены полости рта.
    • Профилактика: тщательная чистка зубов и использование зубной нити, регулярные визиты к стоматологу.
  2. Повреждение коронки

    • Причины: механические повреждения, чрезмерные жевательные нагрузки.
    • Профилактика: избегайте употребления твердой пищи, не используйте зубы для вскрытия упаковок или других непредназначенных действий.
  3. Аллергические реакции

    • Причины: индивидуальная непереносимость материалов коронки.
    • Профилактика: перед установкой коронки пройдите тестирование на аллергены, выбирайте биосовместимые материалы.

"Однажды ко мне обратилась пациентка с жалобой на зуд и покраснение десен после установки металлокерамической коронки. Оказалось, что у неё была аллергия на металл. Мы заменили коронку на циркониевую, и все симптомы исчезли."

Как избежать осложнений

  • Соблюдайте все рекомендации стоматолога по уходу за коронкой.
  • Регулярно посещайте стоматолога для профилактических осмотров.
  • Своевременно сообщайте врачу о любых изменениях в состоянии полости рта.

Соблюдение этих рекомендаций поможет вам избежать осложнений и продлить срок службы зубной коронки.

Стоимость установки зубных коронок

Стоимость установки зубных коронок

Стоимость установки зубных коронок может значительно варьироваться в зависимости от выбранного материала, клиники и региона. Понимание средних цен поможет вам лучше спланировать бюджет и выбрать оптимальное решение. Ниже приведены примерные средние цены на различные виды коронок в России.

Примерные средние цены на зубные коронки

Тип коронки Средняя стоимость (руб.)
Металлические 10,000 - 20,000
Керамические 25,000 - 40,000
Металлокерамические 20,000 - 35,000
Циркониевые 35,000 - 60,000

Важно: указанные цены являются ориентировочными и могут варьироваться в зависимости от региона, клиники и индивидуальных особенностей клинического случая. Дополнительные процедуры, такие как депульпирование или имплантация, могут также повлиять на общую стоимость лечения.

"В своей практике я всегда стараюсь предложить пациентам несколько вариантов лечения, чтобы они могли выбрать оптимальное решение, исходя из своих финансовых возможностей и предпочтений. Например, для пациентов с ограниченным бюджетом металлические коронки могут стать отличным вариантом, тогда как для тех, кто ищет эстетическое решение, лучше подойдут циркониевые коронки."

Часто задаваемые вопросы (FAQ)

Часто задаваемые вопросы (FAQ)

Установка зубных коронок вызывает множество вопросов у пациентов. В этом разделе мы собрали ответы на самые популярные из них, чтобы помочь вам лучше понять процесс и принять обоснованное решение.

  1. Сколько служат зубные коронки?

    • Срок службы зубной коронки зависит от материала, качества изготовления и ухода. В среднем, коронки служат от 5 до 15 лет, но при правильном уходе могут прослужить и дольше.
  2. Больно ли устанавливать коронку?

    • Процесс установки коронки проводится под местной анестезией, поэтому болевых ощущений быть не должно. После процедуры возможна небольшая чувствительность, которая проходит в течение нескольких дней.
  3. Можно ли отбелить коронку?

    • Керамические и циркониевые коронки не поддаются отбеливанию. Если вы планируете отбеливание, рекомендуется сначала отбелить натуральные зубы, а затем подбирать коронку под новый оттенок.
  4. Как часто нужно посещать стоматолога после установки коронки?

    • Рекомендуется посещать стоматолога каждые 6 месяцев для профилактического осмотра и профессиональной чистки. Это поможет поддерживать здоровье полости рта и продлить срок службы коронки.
  5. Можно ли установить коронку на живой зуб?

    • Да, коронки устанавливаются как на депульпированные, так и на живые зубы. В случае с живым зубом важно убедиться в отсутствии воспалительных процессов.
  6. Что делать, если коронка треснула или слетела?

    • Если коронка треснула или слетела, необходимо как можно скорее обратиться к стоматологу. Попытки самостоятельного ремонта могут привести к повреждению зуба или коронки.
  7. Можно ли установить коронку на имплант?

    • Да, коронки часто используются для восстановления зубов на имплантах. Это позволяет добиться высокой эстетики и функциональности.
  8. Как ухаживать за коронкой в домашних условиях?

    • Уход за коронкой включает регулярную чистку зубов, использование зубной нити и ополаскивателей. Важно избегать жестких щеток и абразивных паст.
  9. Влияет ли коронка на вкусовые ощущения?

    • Коронка не должна влиять на вкусовые ощущения. Если вы заметили изменения, это может быть связано с адаптацией к новой конструкции или требует консультации с врачом.
  10. Можно ли установить коронку беременным?

    • Установка коронки беременным возможна, но требует консультации с врачом. Важно учитывать общее состояние здоровья и возможные риски.

Заключение

Зубные коронки являются важным элементом современной стоматологии, позволяя восстановить функцию и эстетику поврежденных зубов. Выбор правильного типа коронки, качественная установка и тщательный уход — ключевые факторы, обеспечивающие долговечность и комфорт.

Важно помнить, что успех лечения зависит не только от качества коронки, но и от соблюдения всех рекомендаций стоматолога. Регулярные визиты к врачу и поддержание гигиены полости рта помогут сохранить здоровье зубов и продлить срок службы коронки.

"В своей практике я часто сталкиваюсь с ситуациями, когда пациенты, следующие всем рекомендациям, достигают отличных результатов и наслаждаются комфортом и уверенностью в своей улыбке. Помните, что забота о здоровье зубов — это инвестиция в ваше будущее."

Если у вас остались вопросы или вы хотите узнать больше о зубных коронках, не стесняйтесь обращаться. Я всегда готов помочь вам сделать осознанный выбор и обеспечить лучший результат для вашего здоровья и комфорта.

Будьте здоровы и улыбайтесь чаще!

С уважением,
Доктор Александр Леонидович Крушев

Автор:
Logo